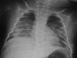
This chest x-ray shows a dangerous infection that is mostly preventable. Influenza pneumonia. This is not your standard, wimpy flu bug that causes runny nose, sore throat, and sinus pressure. This is the big bad brother that attacks the lungs, killing thousands of otherwise normal, healthy people in the United States every fall and winter. See the spotty, cloudy areas in the lung tissue of this infant? Influenza virus is spread directly by respiratory droplets from another individual, usually through a cough or sneeze. In this case, the infant was probably infected by the parent, and probably before the adult even knew that they were sick.
Influenza vaccine, otherwise known as the flu shot, significantly reduces the risk of infection and transmission. It is currently recommended by the CDC for individuals 6 months and older, including pregnant women. Dead influenza viral strains are used in the vaccine, which causes the body’s immune system to create antibodies within about 2 weeks. Once formed, these antibodies fight off attacks by live virus.
September and October are the optimal time to get a flu shot because the flu season can start as early as November. Immunity will usually last until April for most people. Come by our office now to get your shot. By doing so, you will be protecting both yourself and your family.
Richard R. Samuel, MD, ABFP
