
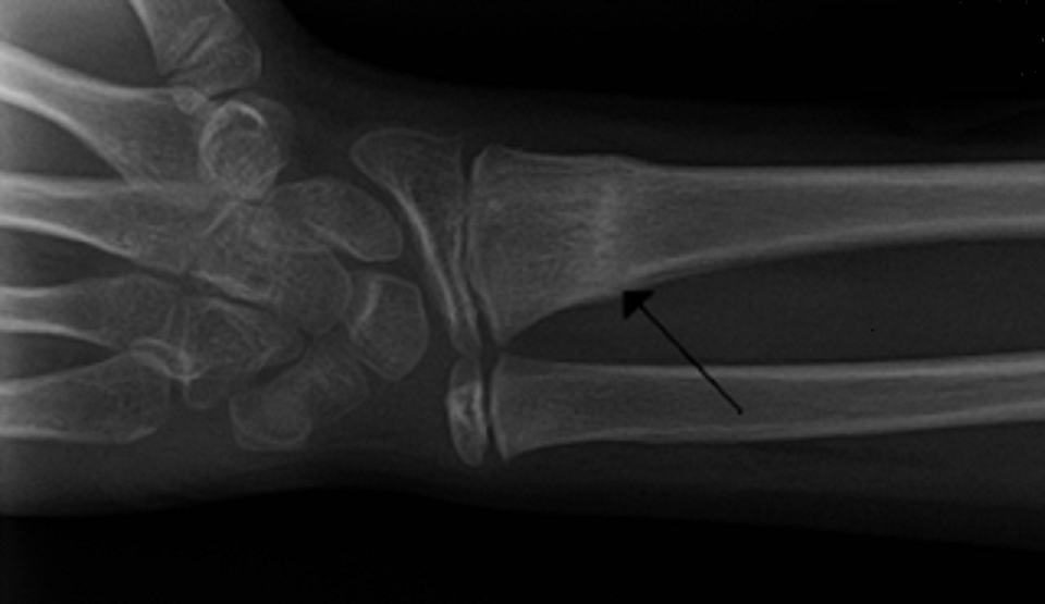
A common childhood injury after a fall is a radial fracture. Also known as a torus, greenstick, or buckle fracture, this break occurs when a child reaches out with his hand to cushion a fall. Since a child’s bones are still relatively soft when compared to an adult, the bone compresses, causing a flattening appearance on xray (see above picture). The child oftentimes will continue to use the arm, although he or she may favor it somewhat. Pushing directly over the fracture site in the forearm will elicit pain. Treatment is usually 3 to 4 weeks in a short arm cast or rigid splint, and these fractures usually heal very quickly without any permanent deformity. Family practice physicians trained in non-surgical orthopedics can adequately manage these simple fractures for a fraction of the cost when compared to an emergency room (see a previous article, The Case for Limited Emergency Room Use) or orthopedic specialist.
If you believe your child has sustained a fracture after a fall and you are members of our practice, contact our office to set up an appointment for examination. If you are not a patient and are interested in finding out about how direct primary care works, click here to read more. If you found this article helpful, click here to sign up for our monthly newsletter.
Have a safe summer!
